تجاوز إلى المحتوى الرئيسي

فريق طبي بقسم جراحة المخ والأعصاب بجامعة أسيوط يتمكن من استئصال "وحمة دموية" من جذع مخ شاب بنجاح

A medical team in the Neurosurgery Department at Assiut University successfully removed a "hemangioma" from the brainstem of a young patient.

عقب إجراء عملية جراحية بالغة الخطورة .... فريق طبي بقسم جراحة المخ والأعصاب بجامعة أسيوط يتمكن من استئصال "وحمة دموية" من جذع مخ شاب بنجاح

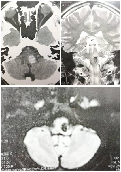
​في سبق طبي جديد يؤكد ريادة مستشفيات جامعة أسيوط، نجح فريق طبي متخصص بقسم جراحة المخ والأعصاب، في إجراء واحدة من أدق وأخطر الجراحات الميكروسكوبية، باستئصال ورم وعائي (وحمة دموية - Cavernoma) من "جذع المخ" لشاب، وهي المنطقة التي تُعرف طبياً بأنها أكثر مناطق الجهاز العصبي حساسية، جاء هذا الإنجاز الطبي تحت رعاية الأستاذ الدكتور أحمد المنشاوي، رئيس الجامعة، والأستاذ الدكتور علاء عطية، عميد كلية الطب ورئيس مجلس إدارة المستشفيات الجامعية، والأستاذ الدكتور محمد السيد، رئيس قسم جراحة المخ والأعصاب.

​كان مستشفى الأمراض العصبية والنفسية وجراحة المخ والأعصاب برئاسة الأستاذ الدكتور طارق راجح،

قد استقبل شاب يبلغ من العمر (٢٣)، يعاني من وحمة دموية من جذع مخ، تسببت له بأعراض عصبية متعددة شملت صداع شديد، واضطراب في الاتزان، وضعفا بالأطراف، وتأثر ببعض الأعصاب المخية، وتكمن صعوبة العملية في الموقع التشريحي للورم، حيث يعتبر جذع المخ الممر الرئيسي لمراكز التحكم في التنفس، الحركة، الاتزان، والأعصاب المخية، وهو ما يجعل التدخل الجراحي في هذه المنطقة بالغ الخطورة، نظرًا لأن أي خطأ غير مقصود قد يؤدي إلى مضاعفات دائمة.

تشكل على الفور فريق طبي بقيادة الأستاذ الدكتور وائل محمد علي عبد الغني، يعاونه الطبيب إبراهيم أحمد يوسف، مدرس مساعد بالقسم، والطبيب أحمد عثمان، طبيب مقيم، ومن قسم التخدير فريق طبي تحت إشراف الأستاذة الدكتورة هالة سعد عبدالغفار، وضم كل من الأستاذ الدكتور محمود كامل، والطبيبة الدكتورة رباب أحمد سامي، مدرس مساعد بالقسم، والطبيب عماد بهجت، طبيب مقيم، ومن هيئة التمريض الأستاذة صفاء علي قبيص، والأستاذ محمود عزام.

وقام الفريق الطبي ب​اختيار مدخل جراحي آمن للوصول لعمق المخ، وذلك من خلال ​استخدام أحدث تقنيات المجهر الجراحي للتحكم في الأوعية الدقيقة دون الإضرار بالأنسجة العصبية المحيطة بالورم.

​وشهدت الحالة تحسناً ملموساً وتراجعاً في الأعراض التي عانى منها المريض لسنوات، مثل الصداع المزمن واضطراب الاتزان وضعف الأطراف، دون تسجيل أي مضاعفات تذكر.

​تعكس هذه الجراحة الدقيقة التطور الكبير في مجال جراحات المخ والأعصاب بمستشفيات جامعة أسيوط.

 فريق طبي بقسم جراحة المخ والأعصاب بجامعة أسيوط يتمكن من استئصال "وحمة دموية" من جذع مخ شاب بنجاح